708-442-1700

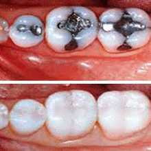
Porcelain Inlay - Onlay

An inlay or onlay tooth restoration is a custom type of cosmetic dentistry that restores the substance and structure of a tooth. Onlays are often called partial crowns, which cover the surface of a damaged or decayed tooth. An inlay is a filling made of gold or tooth-colored porcelain that fits into a hole or cavity in a tooth.

  • INLAYS – are used when teeth are chipped or damaged by a cavity, as an alternative to conventional silver and composite fillings, because less tooth structure is removed in the preparation process. Gold and porcelain are the materials used to provide optimal strength and function to restored area.
  • ONLAYS – are used in case of deeper damage such as that caused by a fracture or extensive decay. An onlay provides a protective cup on crown in order to preserve the tooth structure. Onlays are essentially identical to inlays with the exception that one or more of the chewing cusps have also been affected and need to be included in the restoration.
COSMETIC DENTISTRY - Porcelain Inlays & Onlys