708-442-1700

Periodontal Treatment

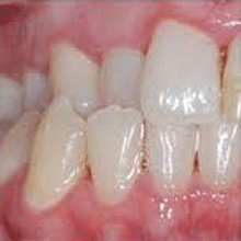
Periodontal treatment depends on the type and level of disease. Appropriate treatment will be determined by your doctor or hygienist.  WHAT CAUSES PERIO DISEASE: When the pocket and space between the tooth and the gums get filled with bacteria, plaque and tartar causing damage to the gums and eventually the bone that supports the teeth. Two different approaches are recommended: 

  • REGULAR CLEANING – If the disease is recognized in the early phase one or two regular cleanings are recommended. Your dentist and hygienist will give you instructions how to treat your mouth and oral hygiene on a daily basis. 
  • DEEP CLEANING - this type of cleaning is recommended in advanced stage of disease. Tartar, plaque, and toxins are removed from above and below the gum line and rough spots on root surfaces are made clean and smooth. Gums tissue heals and pockets shrink. In some cases medication and special rinses are recommended to help control infection and healing. In extreme cases periodontal surgery may be needed to reduce pocket depths.
PERIODONTAL - Treatment